Una novedosa malla para tratar los aneurismas dentro del cerebro - Cofares
06 jul 2021
5
min Lectura
Una novedosa malla para tratar los aneurismas dentro del cerebro
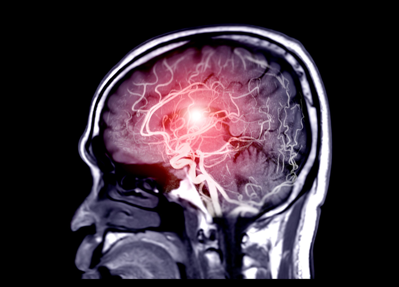
Concretamente, el Sistema Neurovascular Contour de Cerus Endovascular está compuesto por un implante trenzado de malla fina preformada con propiedades de memoria de forma.
Un implante trenzado podría proporcionar una opción de tratamiento eficaz y mínimamente invasiva para los aneurismas intracraneales bifurcados, potencialmente mortales.
Concretamente, el Sistema Neurovascular Contour de Cerus Endovascular (Oxford, Reino Unido) está compuesto por un implante trenzado de malla fina preformada con propiedades de memoria de forma y un sistema de colocación de microcatéter. Este dispositivo combina un desviador y un interruptor de flujo para apuntar al cuello de un aneurisma intracraneal, lejos de la cúpula vulnerable.
Asimismo, el perfil de seguridad mejorado permite su uso para tratar una variedad de morfologías y tamaños de aneurismas, incluidas las bifurcaciones de cuello ancho no rotas.
Con Salud