Una nova malla per tractar els aneurismes dins el cervell - Cofares
06 de jul. 2021
5
min Lectura
Una nova malla per tractar els aneurismes dins el cervell
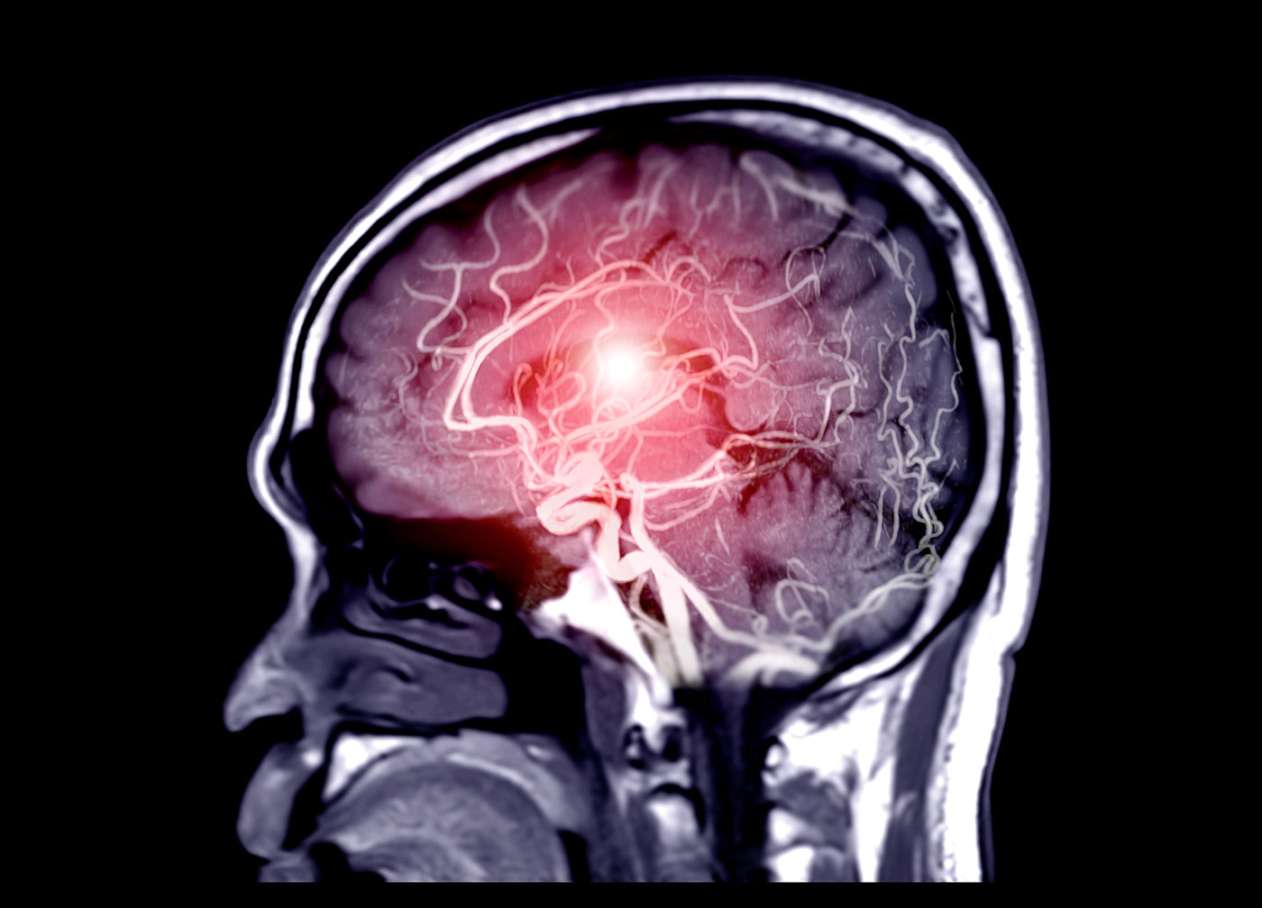
Concretament, el Sistema Neurovascular Contour de Cerus Endovascular està compost per un implant trenat de malla fina preformada amb propietats de memòria de forma.
Un implant trenat podria proporcionar una opció de tractament eficaç i mínimament invasiva per als aneurismes intracranials bifurcats, potencialment mortals.
Concretament, el Sistema Neurovascular Contour de Cerus Endovascular (Oxford, Regne Unit) està compost per un implant trenat de malla fina preformada amb propietats de memòria de forma i un sistema de col·locació de microcatèter. Aquest dispositiu combina un desviador i un interruptor de flux per apuntar al coll d'un aneurisma intracranial, lluny de la cúpula vulnerable.
Així mateix, el perfil de seguretat millorat permet el seu ús per tractar una varietat de morfologies i mides d'aneurismes, incloses les bifurcacions de coll ample no trencades.
Con Salud